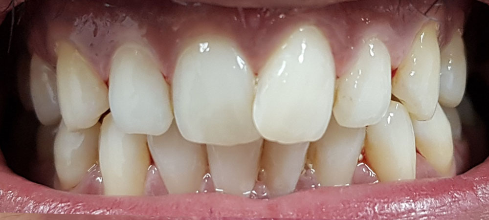
See below for a snapshot of some of the patients we have been honoured to treat.
Each case was carefully planned and involved a lot of listening to make sure we exceeded or at least met the patient’s smile requirements and desires.















Young patient conscious about the ‘coffee stains’ on the front teeth. We explained the condition, agreed to take an ultra-conservative approach and not do any drilling. Microfiller composite resin used and years of concern – gone.

Young patient, did not qualify for orthodontic treatment and conscious about teeth. Nothing a little bit of composite couldn’t repair to restore confidence and alleviate need for braces.




Patient wanted gap closing. Options discussed and it was agreed to go for a minimally invasive resin bonded bridge. Fantastic result.




We’re dedicated to providing the highest standard of care, and our patients’ feedback speaks for itself. Here’s what some of our patients have to say about their experience with us:
Visit us on Blackburn Road, Bolton, where we offer both NHS and private treatments tailored to your needs. From implants to cosmetic options like teeth whitening and Invisalign, we have you covered.
We offer a range of services from specialist treatments such as implants to cosmetic options such as teeth whitening, Invisalign and composite bonding.
Explore our Smile Studio Gallery and see the transformations for yourself or call today to book your consultation!
© 2026 Sharples Dental - All rights reserved Privacy Policy Cookies Policy Contact us Website Design by Pivotal Marketing